Dipol FM | 105,6 fm
Max banner

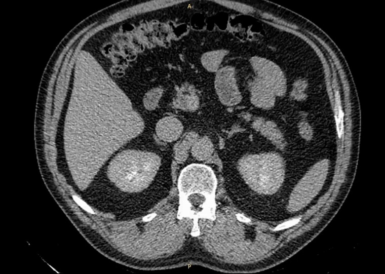
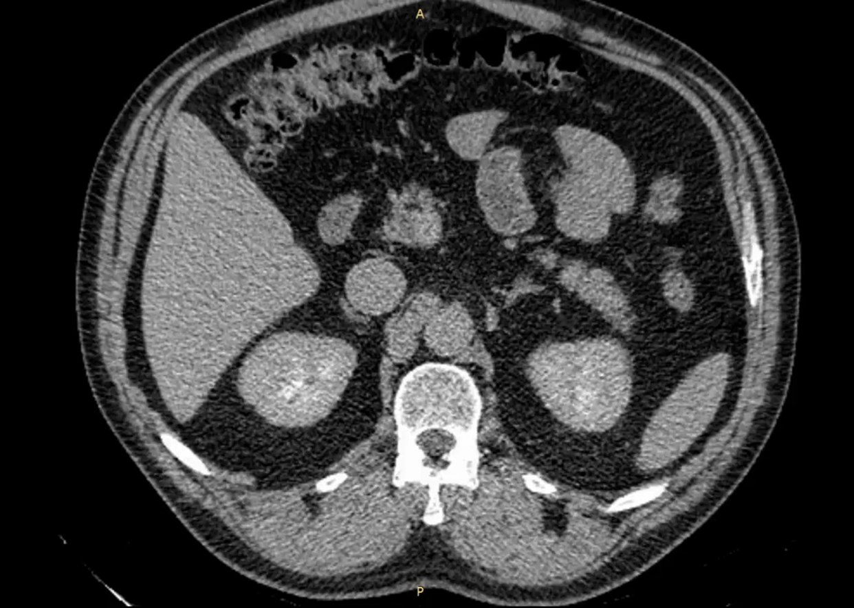
Впервые в Тюменской области проведена уникальная операция на почке

Хирургическое вмешательство описывал профессор РАН.

Врачи МСЧ «Нефтяник» впервые в Тюменской области успешно провели уникальную хирургическую операцию на почке.

52-летний мужчина наблюдался в поликлинике с доброкачественным новообразованием в почке. Его беспокоили периодические боли в пояснице слева. Ранее выявленная киста почки росла, вызывая нарушение оттока мочи и угрозу снижения функции почки.

Хирургическое удаление кисты в данном случае было невозможно из-за расположения кисты внутри почки. Вмешательство могло привести к потере органа. Урологи МСЧ «Нефтяник» приняли решение помочь пациенту, выполнив уникальную операцию на почке, описанную и продемонстрированную членом-корреспондентом РАН, профессором А.Г. Мартовым.

«Суть метода заключается в создании сообщения между полостью кисты и чашечно-лоханочной системой почки. Мы изучали КТ-снимки, архитектонику почки, чтобы свести к минимуму определенные риски травмирования сосудов почки. Операция прошла в штатном режиме», — пояснил врач-уролог, заведующий отделением урологии №2 клиники «Нефтяник» Владимир Новоселов.

Функция почки восстановлена, пациент чувствует значительное облегчение симптомов, на вторые сутки выписан и вернулся домой, сообщает департамент здравоохранения Тюменской области.

Ранее тюменские врачи провели сложную операцию на бьющемся сердце, а еще реконструировали пациентке пищевод, сожженный уксусной кислотой.

Фото: департамент здравоохранения Тюменской области

(0)
  • Комментарии
Загрузка комментариев...
Неудобно на сайте? Читайте самое интересное в Telegram, самое полезное в Vk и самое актуальное в MAX
Последние новости
Почти 9 тонн опасного мяса попытались незаконно вывезти из Омской области в Казахстан
Почти 9 тонн опасного мяса попытались незаконно вывезти из Омской области в Казахстан
Машины с грузом задержаны.
#мясо
#продукция
#проверка
#граница
#таможня
#Россельхознадзор
#Омск
#Омская область
#Казахстан
#новости России
#новости мира
#тк
Александр Моор: От работы прокуратуры зависят судьбы людей, репутация и вера в справедливость государства
Александр Моор: От работы прокуратуры зависят судьбы людей, репутация и вера в справедливость государства
Губернатор отметил заслуги надзорного ведомства.
#Александр Моор
#губернатор
#поздравление
#прокуратура
#Тюменская область
#Тюмень
#новости Тюмени
#тк
В Тюмени у крещенских купелей организуют бесплатные парковки
В Тюмени у крещенских купелей организуют бесплатные парковки
Схемы, где можно припарковаться.
#Крещение
#транспорт
#парковка
#схема
#Тюмень
#новости Тюмени
#тк
В Тобольске будут женить в День России – 12 июня
В Тобольске будут женить в День России – 12 июня
Выбрать дату свадьбы можно через госуслуги.
#свадьба
#дата
#День России
#праздник
#ЗАГС
#Тобольск
#Тюменская область
#тк
Максим Афанасьев - на третьем месте в медиарейтинге среди глав столиц УрФО в 2025 году
Максим Афанасьев - на третьем месте в медиарейтинге среди глав столиц УрФО в 2025 году
Светлана Иванова - на шестом месте.
#Максим Афанасьев
#Светлана Иванова
#рейтинг
#Медиалогия
#Тюмень
#новости Тюмени
#УрФО
#тк

Настоящий ресурс использует сервис веб-аналитики Яндекс Метрика, предоставляемый компанией ООО «ЯНДЕКС», 119021, Россия, Москва, ул. Л. Толстого, 16 (далее — Яндекс), сервис Яндекс Метрика использует файлы «cookie» с целью сбора технических данных посетителей для обеспечения работоспособности и улучшения качества обслуживания. Продолжая использовать ресурс, Вы автоматически соглашаетесь с использованием данных технологий.

Собранная при помощи «cookie» информация не может идентифицировать вас, однако может помочь нам улучшить работу нашего сайта. Информация об использовании вами данного сайта, собранная при помощи «cookie», будет передаваться Яндексу и храниться на серверах Яндекса в Российской Федерации.

Вы можете отказаться от использования «cookie», выбрав соответствующие настройки в браузере.

Подробнее о нашей политике обработки персональных данных.

Принять